۰

اصلی‌ترین دلیل مرگبار شدن ویروس کرونا کشف شد

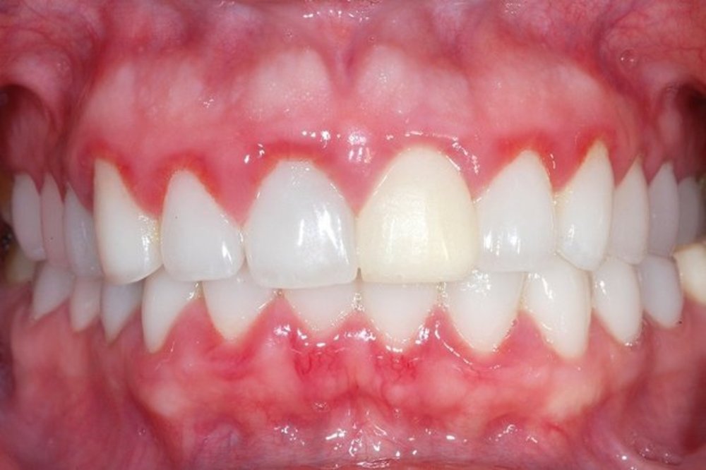
محققان می‌گویند ارتباط مستقیمی میان بیماری لثه در افراد و مرگ و میر ناشی از ابتلا به ویروس کرونا وجود دارد.
کد خبر: ۲۳۵۶۳۰
۱۴:۳۷ - ۱۹ مرداد ۱۳۹۹

به گزارش «شیعه نیوز»، برخی بیماری‌ها می‌توانند روی یکدیگر تاثیر داشته باشند و یکدیگر را تشدید کنند. به تازگی محققان پی برده اند که بیماری لثه می‌تواند باعث مرگبار شدن کووید ۱۹ در بیماران شود.

بر این اساس، محققان ارتباط میان خطر مرگ بار ابتلا به ویروس کرونا و بیماری لثه را کشف کردند. بیماری لثه خود با بیماری قلبی و بیماری مزمن ریوی ارتباط مستقیمی دارد. خود این دو بیماری نیز به طور مستقیم می‌تواند خطر مرگ بیماران به کووید ۱۹ را به شدت افزایش دهد.

محققان در ایالت کالیفرنیای آمریکا و نیز برزیل اعلام کردند: بیماری لثه باعث می‌شود سطح پروتئین ایمنی به نام «اینترلوکئین ۶» در خون بالا رود. مشاهده شده است کسانی که سطح این پروتئین در خونشان بالا بوده است در صورت ابتلا به ویروس کرونا علائم بسیار شدیدی از خود نشان خواهند داد و برای زنده ماندن باید حتماً زیر دستگاه تنفس مصنوعی قرار بگیرند همچنین میزان مرگ و میر این افراد نسبت به بیماران دیگر مبتلا به کووید ۱۹ بیشتر است.

این تحقیقات همچنین نشان داد اگر چه بیماری‌های مختلف می‌تواند سطح اینترلوکئین ۶ خون را در افراد افزایش دهد، اما در صورت درمان بیماری لثه در افراد، سطح این پروتئین به میزان قابل توجهی در خون کاهش می‌یابد.

محققان می‌گویند افرادی که سطح اینترلوکئین ۶ آن‌ها بیش از ۸۰ پیکوگرم در هر میلی لیتر است، بسیار بیشتر از سایرین در صورت ابتلا به ویروس کرونا ممکن است جان خود را از دست بدهند یا با تشدید بیماری نیازمند دستگاه تنفس مصنوعی باشند.

شروین ملایم، یکی از جراحان دندانپزشکی لس آنجلس آمریکا در این باره می‌گوید: بر این باوریم بسیاری از کسانی که سطح بالایی از اینترلوکئین ۶ را در خون دارند پیش از ابتلا به کووید ۱۹ از بیماری لثه رنج می‌برده اند و همین امر بر شدت بیماری در آن‌ها خواهد افزود.

محققان تاکید دارند مردم حتما نسبت به بهداشت دهان و دندان خود حساس بوده و در صورت بیماری لثه به دندانپزشک رجوع کنند.

ارسال نظرات
نظرات حاوی عبارات توهین آمیز منتشر نخواهد شد