۰

تشخیص آلزایمر با آزمایش خون

در سراسر جهان تقریبا ۴۷ میلیون نفر مبتلا به دمانس هستند و بخش بزرگی مبتلا به آلزایمر.
کد خبر: ۲۰۱۶۰۰
۱۳:۰۵ - ۱۱ آبان ۱۳۹۸

 به گزارش « شیعه نیوز »، پژوهشگران آلمانی روش جدیدی برای اثبات زودهنگام نشانه‌های بروز بیماری آلزایمر پیش از تشخیص آن ارائه کرده‌اند. آنها می‌گویند ۱۴ سال پیش از تشخیص آلزایمر در بیمارانی با ریسک‌پذیری بالا، می‌توان این نشانه‌ها را دید.
در سراسر جهان نزدیک به ۴۷ میلیون نفر به یکی از انواع بیماری‌های دمانس یا زوال عقل مبتلا هستند. آلزایمر یا فراموشی شایع‌ترین نوع بیماری زوال عقل در جهان است. در ایران به گفته مدیرعامل انجمن آلزایمر این کشور، شمار مبتلایان به این بیماری به ۷۵۰ هزار نفر می‌رسد.

دمانس اختلال مزمن و گاه حاد در فرآیندهای روانی است که از جمله با اختلال در حافظه هم همراه است. بیماری فراموشی یا آلزایمر، شایع‌ترین نوع دمانس، یک نوع اختلال عملکرد مغزی است.
برای بیماری آلزایمر که در آن سلول‌های مغز از بین می‌روند، در حال حاضر درمانی قطعی وجود ندارد. اما در مورد تشخیص زودهنگام این بیماری در افرادی با ریسک‌پذیری بالا برای ابتلا چطور؟
در آلمان یک میلیون و هفتصد هزار نفر از بیماری دمانس رنج می‌برند که بخش بزرگی از این دسته (یک میلیون و دویست هزار تن)، دچار بیماری فراموشی یا آلزایمر است.
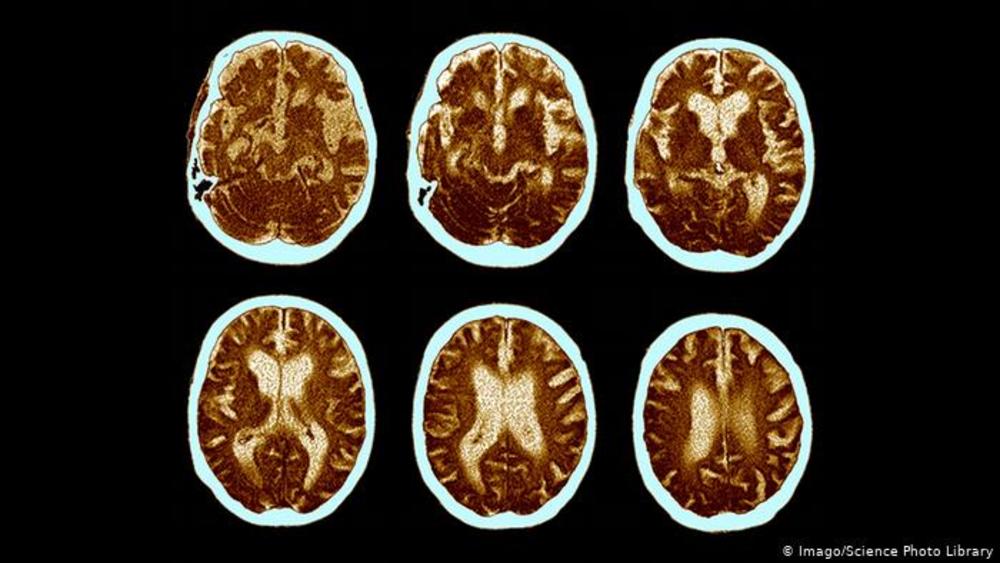
به همین علت تشخیص بیماری از روی نخستین نشانه‌‌ها و زمینه‌های بروز آن برای کند کردن روند توسعه بیماری با استفاده از دارو، از اهمیت ویژه‌ای برخوردار است. یک روش برای تشخیص به موقع، ارزیابی اسکن مغزی با بهره‌گیری از هوش مصنوعی است.
پژوهشگران دانشگاه بوخوم آلمان با همکاری مرکز تحقیقات سرطانی این کشور در "مجله آلزایمر و دمانس" به معرفی روشی پرداخته‌اند که در آن با آزمایش خون می‌توان خطر ابتلا به آلزایمر را در افراد با ریسک بالا، ۱۴ سال پیش از تشخیص، شناسایی کرد.
نتایج نخستین پژوهش‌های این گروه که سال گذشته در مجله تخصصی EMBO Molecular Medicine منتشر شد، نشان داد، این نوع آزمایش خون می‌تواند ۸ سال پیش از تشخیص بالینی، خطر آلزایمر را اثبات کند.
تشکیل پلاک‌های فیبری و توده‌های تجمع‌یافته "پروتیین آمیلوئید بتا" در سیستم اعصاب مرکزی را یکی از علت‌های اصلی این بیماری می‌دانند. آمیلوئید بتا، پروتیینی است که در فرایند ساخت پلاک‌های فیبری نامحلول در بیماران آلزایمری نقش اساسی بازی می‌کند. در روش پژوهشگران دانشگاه بوخوم آلمان، "پروتئین آمیلوئید بتا" که در اثر بیماری آلزایمر تغییر می‌کند، در خون، با کمک یک حسگرمادون قرمز ویژه بررسی می‌شود.
برای پاسخ به این پرسش که با این روش چه مدت زمانی پیش از تشخیص قطعی (بروز) بیماری می‌توان نشانه‌های آن را دید، نمونه‌های خونی ۱۵۰ نفر از سال ۲۰۰۰ که ۱۴ سال بعد در آنها بیماری آلزایمر تشخیص داده شد، بررسی شدند. خون این گروه با ۶۲۰ نمونه دیگر که مبتلا به این بیماری نبودند، مقایسه شد.
این آزمایش‌ها نشان داد، در بیمارانی که در خونشان تمرکز بالای پروتیین آمیلوئید بتا به اثبات می‌رسد، ریسک ابتلا به آلزایمر هم بالاست. پژوهشگران اثبات کردند که در خون این افراد ۲۳ برابر ریسک‌ ابتلا به آلزایمر در مقایسه با گروه کنترل ۶۲۰ نفری، بیشتر است.
با وجود این یافته‌ها و اثبات تشخیص زمینه‌ها و نشانه‌های بیماری آلزایمر از روی آزمایش خون، هنوز هم سال‌ها طول خواهد کشید تا پزشکان اجازه و امکان استفاده از این آزمایش را در تشخیص پیشگیرانه بیماری آلزایمر داشته باشند.

ارسال نظرات
نظرات حاوی عبارات توهین آمیز منتشر نخواهد شد